古い差し歯に注意❕
こんにちは、代々木駅前歯科の竹元です🌝
今回は、差し歯・被せ物についてお話ししていきます🦷✨
当院には、古い差し歯や被せ物についてお悩みを抱えた方も多く来院されます。
「自分の歯と比べて差し歯の色が浮いている」
「差し歯の形が合っていない」
「差し歯と歯茎の隙間が黒ずんでいる」
「汚れが溜まりやすい」など…😢
保険診療で作れる差し歯には、プラスチックと銀歯の二種類があります

プラスチックは見た目には綺麗ですが割れやすく、また以前は保険適用でなかった為、古い差し歯の多くは銀歯です。
表側に白い樹脂(レジン)を張り付けた硬質レジン前装冠という物もあり、こちらは一見して綺麗には見えますが、劣化もしやすく、1~3年程でレジンの色が黄色く変色してきます

また、レジン素材は耐久性が低い為、金属で補強しており、この部分が少しずつ溶けることで、歯茎が黒っぽくなるケースもあります。

加えて、銀歯には以下のようなデメリットもあります。
①虫歯が再発しやすい。
②歯周病になりやすい。
③金属アレルギーの原因となる。
④5~7年程度で作り直す必要があるので、元の歯が残しにくくなる。
プラスチック・銀歯共に劣化が早い為、数年毎に作り直す必要がありますが、作り直す際には、土台となる歯を更に削って整えなくてはなりません。
それを何度も繰り返すと、自分の歯はどんどん小さく脆くなり、最終的に残せなくなると、抜歯しなければいけなくなるケースもあります
長く歯を残す為には、セラミックやジルコニアなどの耐久性に優れ、劣化しにくい素材を使った差し歯や被せ物を入れるのが効果的
です!✨

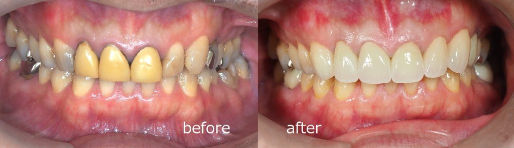
この写真のケースでは、前歯の差し歯が古くなり、3本がかなり黄色く変色してきてしまっています。
患者様も、装着した当初は周りの歯の色に合わせて作った筈とのことですが、時間が経ち、明らかに他の歯に比べて色が浮いてきてしまって気になるということでした。
また、差し歯の間も、内側の金属が歯肉に溶け出して黒っぽくなってしまっています。
差し歯が入っている所以外にも虫歯が出来ていた為、今回は前歯全体をセラミックに交換しました。
丈夫で長持ち・見た目にもとても綺麗な状態になり、患者様にもご満足いただける結果となりました🥰💕
🌟長く自分の歯を残したい
🌟着色・銀歯が気になる
🌟歯並びを整えたい
など、セラミック治療で対応出来るケースは多くあります💪
ご興味のある方は、ぜひ一度、無料のカウンセリングにお越しください。
当院一同心よりお待ちしております💖
代々木駅前歯科・代々木駅徒歩10秒・新宿・渋谷区・インプラント・矯正・審美専門医在籍