2018.05.14

インプラントの指導医が在籍しております

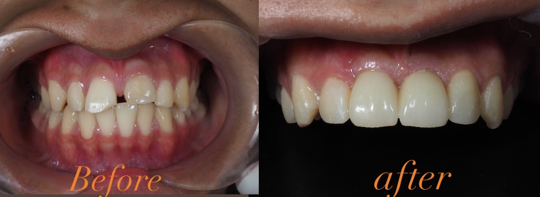
当院にはインプラントの指導医が在籍しており、インプラントのご相談に来られる患者様が多くいらっしゃいます。
個人差がありますが、インプラントは治療を開始してから、おおよそ2ヶ月で完了し、その後は定期検診になります。

定期検診は、インプラント治療を終えた方だけでなく、虫歯の治療や歯周病の治療、抜歯やセラミックの治療など、どんな治療をされた患者様にもとても大切なことです。虫歯のチェック、歯周病のチェック、被せものを入れたのであれば噛み合わせなど、その時のお口の中全てをチェックします。当院は最長でも半年に一度の来院をご提案させていただいているので、仮に虫歯が見つかったとしても小さいうちに治療することが出来ます。

毎食後、きちんとブラッシングをしていてもどうしても歯石や着色が付いてきてしまいます。歯石がただの石であれば問題ないのですが、この歯石の中にいるバイ菌が歯茎に悪さをして歯周病を引き起こします。なので、定期検診の際にはこの歯石を除去する為に、お掃除もさせて頂きます。歯石になってしまうとご自身の歯ブラシでは取り除けないので、歯科医院にある専門の器具で取り除きます。

今現在、お口の中が何も問題ない!と言う皆様、最近歯科医院に行かれたのはいつでしょうか?ずいぶん前だな…とお思いにになられたらご連絡下さい。お待ちしております(*^-^*)

代々木駅前歯科 代々木駅徒歩10秒 新宿・渋谷区 インプラント・矯正・審美専門医在籍

Recent Post

  • 2025.10.28 インプラント治療:たった30分で歯が入る

  • 2025.10.23 セラミックの被せ物🦷

  • 2025.10.16 骨がなくてもインプラントができる!

  • 2025.10.08 矯正治療を始めました🦷✨