インプラント治療
※インプラント治療は保険外診療です。
Before
After
右上奥歯欠損の為来院。
インプラント埋入後、インプラントと骨が結合したのを確認後セラミックを装着。
| 治療部位(右上6番) |
|---|
| インプラント手術料 | 240,000円 |
| 2次手術及び印象採得 | 35,000円 |
| 精密技工料 | 50,000円 |
| フルジルコニアクラウン | 85,000円 |
| 合計 | 410,000円 |
| デンタルローン | 月々5,900円~ |
| 治療期間 | 3ヶ月 |
| リスク・副作用 | 術後の口腔管理が不適切な場合、埋入したインプラント周囲に感染・炎症を起こし、脱落する可能性があります。 |
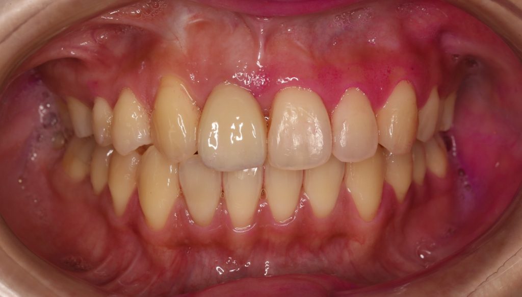
Before
After
左上前歯欠損の為来院。
インプラント埋入後、当日に仮歯を隣接の歯と連結、インプラントと骨が結合したのを確認後セラミックを装着。
| 治療部位(左上1番) |
|---|
| インプラント手術料 | 240,000円 |
| 2次手術及び印象採得 | 35,000円 |
| 精密技工料 | 50,000円 |
| ジルコニアセラミッククラウン | 115,000円 |
| 合計 | 440,000円 |
| デンタルローン | 月々6,300円~ |
| 治療期間 | 3ヶ月 |
| リスク・副作用 | 術後の口腔管理が不適切な場合、埋入したインプラント周囲に感染・炎症を起こし、脱落する可能性があります。 |
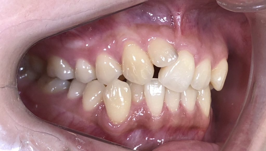
Before
After
左上前歯を歯根破折の為抜歯。
その後インプラントを埋入と同時に歯肉のボリュームが足りない為、歯肉のを移植。当日に仮歯を隣接の歯と連結。インプラントと骨が結合したのを確認後セラミックを装着。
| 治療部位(左上1番) |
|---|
| インプラント手術料 | 240,000円 |
| GBR | 100,000円 |
| 2次手術及び印象採得 | 35,000円 |
| 精密技工料 | 50,000円 |
| ジルコニアセラミッククラウン | 115,000円 |
| 合計 | 540,000円 |
| デンタルローン | 月々7,800円~ |
| 治療期間 | 6ヶ月 |
| リスク・副作用 | 術後の口腔管理が不適切な場合、埋入したインプラント周囲に感染・炎症を起こし、脱落する可能性があります。 |
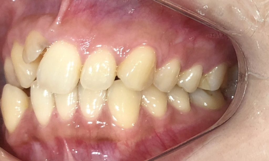
Before
After
右下2本が欠損の為来院。
インプラントを埋入し、3 ヶ月後にジルコニアセラミッククラウンを装着。
| 治療部位(右下5,6番) |
|---|
| インプラント手術料(2本) | 480,000円 |
| 2次手術及び印象採得(2本) | 70,000円 |
| 精密技工料(2本) | 100,000円 |
| ジルコニアセラミッククラウン(2本) | 230,000円 |
| 合計 | 880,000円 |
| デンタルローン | 月々12,700円~ |
| 治療期間 | 3ヶ月 |
| リスク・副作用 | 術後の口腔管理が不適切な場合、埋入したインプラント周囲に感染・炎症を起こし、脱落する可能性があります。 |
Before
After
左下5,6,7 番が欠損の為来院。
インプラントを3本埋入し、当日仮歯まで装着。インプラントと骨が結合したのを確認後3 本のジルコニアセラミッククラウンを装着。
| 治療部位(左下5,6,7番) |
|---|
| インプラント手術料(3本) | 720,000円 |
| GBR(2本) | 120,000円 |
| 2次手術及び印象採得(3本) | 105,000円 |
| 精密技工料(3本) | 150,000円 |
| ジルコニアセラミッククラウン(3本) | 345,000円 |
| 合計 | 1,440,000円 |
| デンタルローン | 月々20,800円~ |
| 治療期間 | 6ヶ月 |
| リスク・副作用 | 術後の口腔管理が不適切な場合、埋入したインプラント周囲に感染・炎症を起こし、脱落する可能性があります。 |
Before
After
上の歯全体重度の歯周病の為、保存不可と診断し抜歯。
その後インプラントを4本埋入し、当日仮歯を装着。インプラントと骨が結合したのを確認後12本セラミックを装着。
| 治療部位(上顎) |
|---|
| インプラント手術料(4本) | 960,000円 |
| GBR | 100,000円 |
| 2次手術及び印象採得(12本) | 420,000円 |
| 精密技工料(4本) | 200,000円 |
| ジルコニアセラミッククラウン(12本) | 1,380,000円 |
| 合計 | 3,060,000円 |
| デンタルローン | 月々44,400円~ |
| 治療期間 | 7ヶ月 |
| リスク・副作用 | 術後の口腔管理が不適切な場合、埋入したインプラント周囲に感染・炎症を起こし、脱落する可能性があります。 |
Before
After
上の歯が重度の歯周病の為、保存不可と診断し抜歯。
その後インプラントを6本埋入し、当日仮歯まで装着。インプラントと骨が結合したのを確認後12本のセラミックを装着。
| 治療部位(上顎) |
|---|
| インプラント手術料(6本) | 1,440,000円 |
| 2次手術及び印象採得(12本) | 420,000円 |
| 精密技工料(6本) | 300,000円 |
| ジルコニアセラミッククラウン(12本) | 1,380,000円 |
| 合計 | 3,540,000円 |
| デンタルローン | 月々51,300円~ |
| 治療期間 | 6ヶ月 |
| リスク・副作用 | 術後の口腔管理が不適切な場合、埋入したインプラント周囲に感染・炎症を起こし、脱落する可能性があります。 |
Before
After
上の前歯がぐらつくとのことで来院。
全体的な治療を希望された為、抜歯と同時にインプラント手術後即時に仮歯を装着(抜歯即時埋入即時荷重)インプラントと骨が結合したのを確認後、12 本同時にセラミックを装着。
| 治療部位(上顎) |
|---|
| インプラント手術料(6本) | 1440,000円 |
| 抜歯即時埋入(5本) | 100,000円 |
| GBR(5本) | 250,000円 |
| 2次手術及び印象採得(11本) | 385,000円 |
| 精密技工料(6本) | 300,000円 |
| ジルコニアセラミッククラウン(11本) | 1,265,000円 |
| 合計 | 3,740,000円 |
| デンタルローン | 月々54,200円~ |
| 治療期間 | 6ヶ月 |
| リスク・副作用 | 術後の口腔管理が不適切な場合、埋入したインプラント周囲に感染・炎症を起こし、脱落する可能性があります。 |
Before
After
| 治療部位(下顎インプラントオーバーデンチャー) |
|---|
| インプラント手術料(2本) | 480,000円 |
| アタッチメント(2本) | 200,000円 |
| 下顎金属床 | 550,000円 |
| 合計 | 1,230,000円 |
| デンタルローン | 月々17,800円~ |
Before
After
右上2番左上2番が歯根破折の為抜歯と同時にインプラント手術後即時に仮歯を装着(抜歯即時埋入即時荷重)インプラントと骨が結合したのを確認後4本ジルコニアセラミッククラウンを装着。
| 治療部位(前歯4本) |
| インプラント手術料(3本) | 720,000円 |
| GBR(3本) | 150,000円 |
| 即時修復加算(3本) | 150,000円 |
| 2次手術及び印象採得(4本) | 140,000円 |
| 精密技工料(3本) | 150,000円 |
| ジルコニアセラミッククラウン(4本) | 460,000円 |
| 合計 | 1,770,000円 |
| デンタルローン | 月々25,600円~ |
| 治療期間 | 4ヶ月 |
| リスク・副作用 | 歯ぎしりや強く噛む癖があると割れることがあります年数が経つと変色したり外れたりすることがあります術後の口腔管理が不適切な場合、埋入したインプラント周囲に感染・炎症を起こし、脱落する可能性があります。 |
セラミック治療
※セラミック治療は保険外診療です。
Full zirconia
フルジルコニアクラウン
Before
After
銀歯をセラミックにしたいとのことで来院。
奥歯一本をフルジルコニアクラウンにて修復。
| 治療部位(左下6番) |
|---|
| フルジルコニアクラウン | 85,000円 |
| 仮歯 | 3,500円 |
| 合計 | 88,500円 |
| デンタルローン | 月々3,100円~ |
| 治療期間 | 約2週間 |
| 治療回数 | 2回 |
| リスク・副作用 | 歯ぎしりや強く噛む癖があると割れることがあります年数が経つと変色したり外れたりすることがあります |
※1番奥の歯は保険内診療となります。
All ceramic
オールセラミッククラウン
Before
After
前歯の古い詰め物、形が気になり来院
前歯2本をオールセラミッククラウンにて修復。
| 治療部位(左上1番右上1番) |
|---|
| オールセラミッククラウン(2本) | 180,000円 |
| 仮歯(2本) | 7,000円 |
| 合計 | 187,000円 |
| デンタルローン | 月々3,200円~ |
| 治療期間 | 2週間 |
| 治療回数 | 2回 |
| リスク・副作用 | 歯ぎしりや強く噛む癖があると割れることがあります年数が経つと変色したり外れたりすることがあります |
Zirconia ceramic
ジルコニアセラミッククラウン
Before
After
外傷により来院。
前歯2本をジルコニアセラミッククラウンで修復。
| 治療部位(左上1番右上1番) |
|---|
| ジルコニアセラミッククラウン(2本) | 230,000円 |
| 仮歯(2本) | 7,000円 |
| 合計 | 237,000円 |
| デンタルローン | 月々3,400円~ |
| 治療期間 | 約2週間 |
| 治療回数 | 2回 |
| リスク・副作用 | 歯ぎしりや強く噛む癖があると割れることがあります年数が経つと変色したり外れたりすることがあります |
Zirconia ceramic
ジルコニアセラミッククラウン
Before
After
前歯の被せ物の欠けと、上下のスペースが気になり来院。一度被せ物を外し、前歯2本をジルコニアセラミッククラウンで修復。
| 治療部位(右上1番,左上1番) |
|---|
| ジルコニアセラミッククラウン(2本) | 230,000円 |
| 仮歯(2本) | 7,000円 |
| 合計 | 237,000円 |
| デンタルローン | 月々3,400円~ |
| 治療期間 | 約2週間 |
| 治療回数 | 2回 |
| リスク・副作用 | 歯ぎしりや強く噛む癖があると割れることがあります年数が経つと変色したり外れたりすることがあります |
Zirconia ceramic
ジルコニアセラミッククラウン
Before
After
上の前歯の歯並びが気になるとのことで来院
前歯3本をジルコニアセラミッククラウンにて歯並びを整えつつ修復
| 治療部位(左上1番右上1,2番) |
|---|
| ジルコニアセラミッククラウン(3本) | 345,000円 |
| 仮歯(3本) | 10,500円 |
| 合計 | 355,500円 |
| デンタルローン | 月々5,100円~ |
| 治療期間 | 2週間 |
| 治療回数 | 2回 |
| リスク・副作用 | 歯ぎしりや強く噛む癖があると割れることがあります年数が経つと変色したり外れたりすることがあります |
Zirconia ceramic
セラミックインレー,ジルコニアセラミッククラウン
Before
After
古い銀歯をセラミック(e-max)に変えたいとのことで来院。
セラミックインレー6本ジルコニアセラミック2本にて修復。
| 治療部位(右上4,5番左上4,5,6,7番) |
|---|
| セラミックインレー(e-max)(6本) | 300,000円 |
| 合計 | 300,000円 |
| デンタルローン | 月々4,300円~ |
| 治療部位(左上6,7番) |
|---|
| ジルコニアセラミッククラウン(2本) | 230,000円 |
| 仮歯(2本) | 7,000円 |
| 合計 | 237,000円 |
| デンタルローン | 月々3,400円~ |
| 治療期間 | 1ヶ月 |
| 治療回数 | 4回 |
| リスク・副作用 | 歯ぎしりや強く噛む癖があると割れることがあります年数が経つと変色したり外れたりすることがあります |
Zirconia ceramic
ジルコニアセラミッククラウン
Before
After
前歯の被せ物が外れて来院。
前歯6本の被せ物の色も気になるとのことで一度被せ物を外し前歯6本ジルコニアセラミッククラウンにて修復。
| 治療部位(左上1,2,3番右上1,2,3) |
|---|
| ジルコニアセラミッククラウン(6本) | 690,000円 |
| 仮歯(6本) | 21,000円 |
| 合計 | 711,000円 |
| デンタルローン | 月々10,300円~ |
| 治療期間 | 約2週間 |
| 治療回数 | 2回 |
| リスク・副作用 | 歯ぎしりや強く噛む癖があると割れることがあります年数が経つと変色したり外れたりすることがあります |
Zirconia ceramic
ジルコニアセラミッククラウン
Before
After
前歯の古い詰め物、形が気になり来院。
左右上下顎21本をジルコニアセラミッククラウンにて修復。
| 治療部位(前歯) |
|---|
| ジルコニアセラミッククラウン(21本) | 2,415,000円 |
| 仮歯(21本) | 73,500円 |
| 合計 | 2,488,500円 |
| デンタルローン | 月々36,100円~ |
| 治療期間 | 約8週間 |
| リスク・副作用 | 歯ぎしりや強く噛む癖があると割れることがあります年数が経つと変色したり外れたりすることがあります |
矯正治療
※矯正治療は保険外診療です。
治療期間:3か月
部分矯正【表側上6本】
前歯が出ている事がきになるという事で来院。
上顎前歯6本に裏側の装置を接着。3ヶ月で保定。
| 上記ケースの参考費用 |
|---|
| 検査料 | 40,000円 |
| 基本料金 | 150,000円 |
| 処置料(3回) | 5,000円/回 |
| 保定装置 | 6,000円 |
| 合計 | 220,000円 |
| デンタルローン 月々3,100円~ |
| 治療期間 | 3か月 |
| リスク・副作用 | 痛み・治療後の後戻り・歯根吸収・歯髄壊死・歯肉退縮 |
治療期間:3か月
部分矯正【表側上下6本】
上顎前歯の凹凸が気になるとのこと上顎前歯6本に裏側の装置を接着。歯と歯の間を少しづつ削合し、整列。約3ヶ月で保定に移行。
| 上記ケースの参考費用 |
|---|
| 検査料 | 40,000円 |
| 基本料金 | 300,000円 |
| 処置料(3回) | 5,000円/回 |
| 保定装置料 | 6,000円×2 |
| 合計 | 367,000円 |
| デンタルローン 月々5,300円~ |
| 治療期間 | 3か月 |
| リスク・副作用 | 痛み・治療後の後戻り・歯根吸収・歯髄壊死・歯肉退縮 |
治療期間:3か月
部分矯正【裏側上6本】
上下前歯の段差が気になるとのこと
上下6本ずつに表側の装置を接着
約3ヶ月で保定に移行
| 上記ケースの参考費用 |
|---|
| 検査料 | 40,000円 |
| 基本料金 | 250,000円 |
| 処置料(3回) | 7,000円/回 |
| 保定装置料 | 6,000円 |
| 合計 | 317,000円 |
| デンタルローン 月々4,600円~ |
| 治療期間 | 3か月 |
| リスク・副作用 | 痛み・治療後の後戻り・歯根吸収・歯髄壊死・歯肉退縮 |
治療期間:4か月
部分矯正【表側下8本】
下の前歯の段差が気になるとのことで来院。下顎前歯の8本に表側の装置を装着。4ヶ月で保定。
| 上記ケースの参考費用 |
|---|
| 検査料 | 40,000円 |
| 基本料金 | 210,000円 |
| 処置料(4回) | 5,000/回 |
| 保定装置料 | 6,000円 |
| 合計 | 276,000円 |
| デンタルローン 月々4,000~ |
| 治療期間 | 4か月 |
| リスク・副作用 | 痛み・治療後の後戻り・歯根吸収・歯髄壊死・歯肉退縮 |
治療期間:8ヶ月
部分矯正【表側下6本・裏側上6本】
上下の前歯の並びが気になるとのことで来院。上顎前歯6本に裏側の装置、下顎前歯6本に表側の装置を装着。約8ヶ月で保定に移行。
| 上記ケースの参考費用 |
| 検査料 | 40,000円 |
| 基本料金 | 400,000円 |
| 処置料(8回) | 7,000/回 |
| 保定装置料 | 6,000円×2 |
| 合計 | 508,000円 |
| デンタルローン 月々7,300~ |
| 治療期間 | 8か月 |
| リスク・副作用 | 痛み・治療後の後戻り・歯根吸収・歯髄壊死・歯肉退縮 |
治療期間:10ヶ月
部分矯正【裏側下6本・裏側上6本】
上下の前歯の段差が気になるとのことで来院。
上顎前歯6本に裏側の装置、下顎前歯6本に裏側の装置を装着。
約10ヶ月で保定に移行。
| 上記ケースの参考費用 |
| 検査料 | 40,000円 |
| 基本料金 | 512,000円 |
| 処置料(10回) | 7,000/回 |
| 保定装置料 | 6,000円×2 |
| 合計 | 634,000円 |
| デンタルローン 月々9,200~ |
| 治療期間 | 10か月 |
| リスク・副作用 | 痛み・治療後の後戻り・歯根吸収・歯髄壊死・歯肉退縮 |
治療期間:約1年半
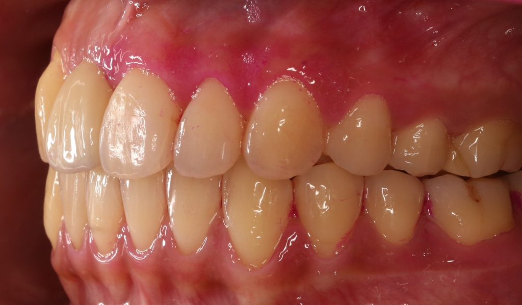
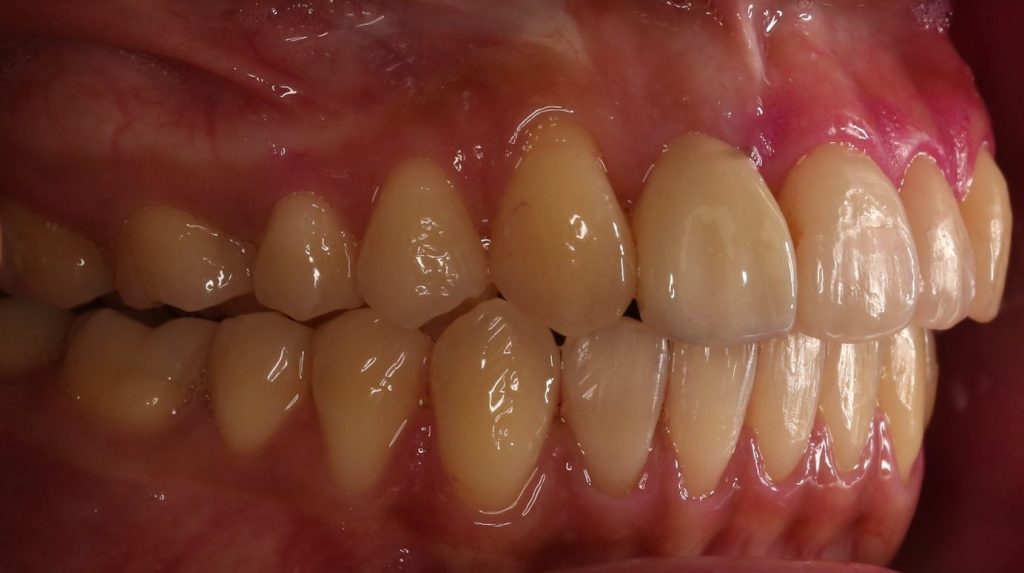
全部矯正【表側上下】
上顎犬歯の歯並び、反対咬合が気になるとのこと。
上下全部に表側の装置を装着。約1年半で保定に移行。
| 上記ケースの参考費用 |
| 検査料 | 40,000円 |
| 基本料金 | 750,000円 |
| 処置料(18回) | 5,000円/回 |
| 保定装置料 | 6,000円×2 |
| 合計 | 892,000円 |
| デンタルローン 月々12,800円~ |
| 治療期間 | 約1年半 |
| リスク・副作用 | 痛み・治療後の後戻り・歯根吸収・歯髄壊死・歯肉退縮 |
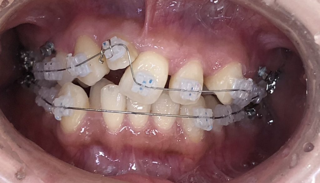
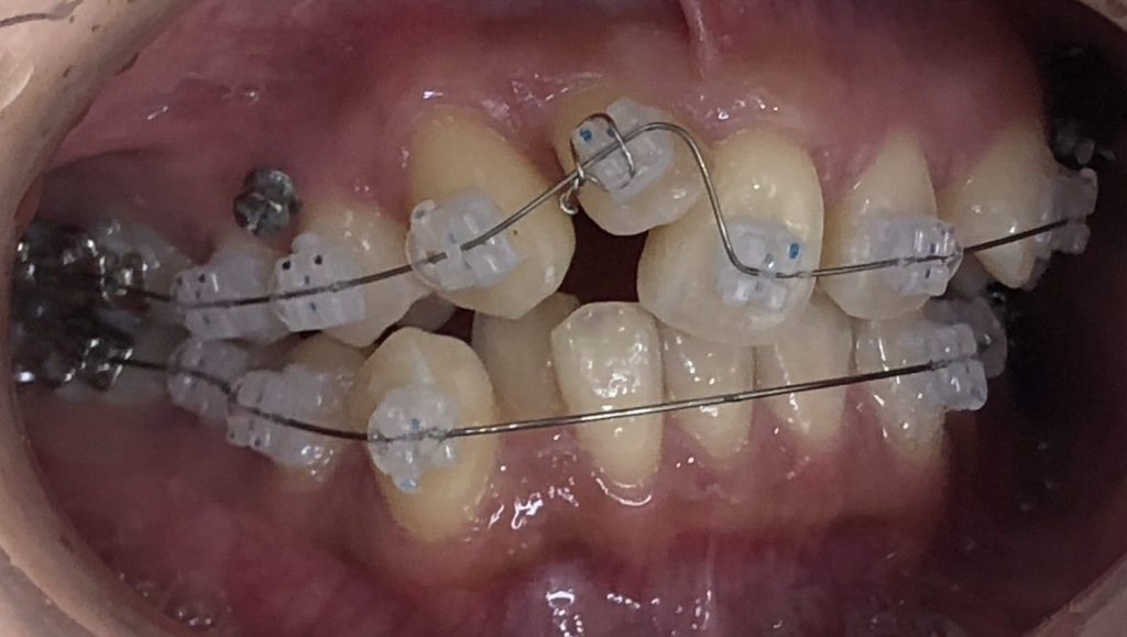
治療期間:1年半
全部矯正【表側上下】
術前
術中
術後
上下のバランスと歯並びが気になるとのことで来院。
上下全部に表側の装置を装着。約1年半で保定に移行。
| 上記ケースの参考費用 |
|---|
| 検査料 | 40,000円 |
| 基本料金 | 750,000円 |
| 処置料(18回) | 5,000/回 |
| 保定装置料 | 6,000円×2 |
| 合計 | 892,000円 |
| デンタルローン 月々12,800~ |
| 治療期間 | 約1年半 |
| リスク・副作用 | 痛み・治療後の後戻り・歯根吸収・歯髄壊死・歯肉退縮 |
治療期間:約1年半
全部矯正【裏側上下】
上顎前歯の正中スペース、口元が出ているのが気になるとのこと。上顎前から4番目、下顎前から5番目の歯を抜歯して、前歯を内側に引っ込めた。約1年半で保定に移行。
| 上記ケースの参考費用 |
|---|
| 検査料 | 40,000円 |
| 基本料金 | 1,000,000円 |
| 処置料(18回) | 7,000円/回 |
| 保定装置料 | 6,000円×2 |
| 合計 | 1,178,000円 |
| デンタルローン 月々17,000円~ |
| 治療期間 | 約1年半 |
| リスク・副作用 | 痛み・治療後の後戻り・歯根吸収・歯髄壊死・歯肉退縮 |
治療期間:約3か月
インビザライン・i7【軽度の症例】
左上前歯の段差がきになるとのこと。歯と歯の間を少しづつ削合し、マウスピースにて整列。約3ヶ月で保定。
| 上記ケースの参考費用 |
|---|
| 検査料 | 40,000円 |
| 基本料金 | 270,000円 |
| 処置料(1回) | 5,000/回 |
| 保定装置料 | 50,000円 |
| 合計 | 365,000円 |
| デンタルローン 月々5,200円~ |
| 治療期間 | 約3か月 |
| リスク・副作用 | 痛み・治療後の後戻り・歯根吸収・歯髄壊死・歯肉退縮 |
治療期間:約6か月
インビザライン・ライト【中等度の症例】
上下の凹凸が気になるとのこと。歯と歯の間を少しずつ削合し、マウスピースにて整列。約6ヶ月で保定に移行。
| 上記ケースの参考費用 |
|---|
| 検査料 | 40,000円 |
| 基本料金 | 480,000円 |
| 処置料(3回) | 5,000円/回 |
| 保定装置料 | 50,000円 |
| 合計 | 585,000円 |
| デンタルローン 月々8,400円~ |
| 治療期間 | 約6か月 |
| リスク・副作用 | 痛み・治療後の後戻り・歯根吸収・歯髄壊死・歯肉退縮 |
治療期間:6か月
インビザライン・ライト【中等度の症例】
術前
術後
下顎の歯並びを良くしたいと来院。
マウスピースにて整列。約6カ月で保定。
| 上記ケースの参考費用 |
| 検査料 | 40,000円 |
| 基本料金 | 480,000円 |
| 処置料(3回) | 5,000円/回 |
| 保定装置 | 50,000円 |
| 合計 | 585,000円 |
| デンタルローン 月々8,400円~ |
| 治療期間 | 約6か月 |
| リスク・副作用 | 痛み・治療後の後戻り・歯根吸収・歯髄壊死・歯肉退縮 |
治療期間:約2年
インビザライン・フル
上下前歯の段差、唇が閉じにくいとのことで来院。上下前から4番目の歯を抜歯して、マウスピースにて整列。約2年で保定に移行。
| 上記ケースの参考費用 |
|---|
| 検査料 | 40,000円 |
| 基本料金 | 820,000円 |
| 処置料(24回) | 5,000/回 |
| 保定装置料 | 50,000円 |
| 合計 | 1,030,000円 |
| デンタルローン 月々14,900円~ |
| 治療期間 | 約2年 |
| リスク・副作用 | 痛み・治療後の後戻り・歯根吸収・歯髄壊死・歯肉退縮 |
治療期間:約2年
インビザライン・フル
上下のガタつきがきになるとのことで来院。右下の5番目の歯をインプラント治療後マウスピースにて整列。約2年で保定に移行。
| 上記ケースの参考費用 |
|---|
| 検査料 | 40,000円 |
| 基本料金 | 820,000円 |
| 処置料(18回) | 5,000/回 |
| 保定装置料 | 50,000円 |
| 合計 | 1,000,000円 |
| デンタルローン 月々14,500円~ |
| 治療期間 | 約2年 |
| リスク・副作用 | 痛み・治療後の後戻り・歯根吸収・歯髄壊死・歯肉退縮 |
治療期間:約2年
全部矯正 【表側上下】
上下の段差が気になるとの事で来院
上顎左右親知らずと右上1番を抜歯しスペースをあけて上下全部に表側の装置を装着。約2年で保定に移行
| 上記ケースの参考費用 |
|---|
| 検査料 | 40,000円 |
| 基本料金 | 750,000円 |
| インプラントアンカー(2本) | 15,000円/本 |
| カリエール | 150,000円 |
| 処置料(24回) | 5,000/回 |
| 保定装置料 | 6,000円×2 |
| 合計 | 1,102,000円 |
| デンタルローン 月々15,900円〜 |
| 治療期間 | 約2年 |
| リスク・副作用 | 痛み•治療後の後戻り•歯根吸収•歯髄壊死•歯肉退縮 |