SCROLL
当院で初めて受診される患者様へ
〜First〜
東京代々木駅前歯科・矯正歯科・口腔外科は、患者様1人1人にもっとも適した治療方針をたて、専門医が責任を持って対応させて頂きます。
初診時はカウンセリングと検査をしっかりと行い検査結果や治療計画を説明させていただく時間を60分前後設けています。ご理解とご協⼒をお願いいたします。
初めて受診される方はこちらをご覧ください
OUR SPECIALLTY
目指したのは大学病院と
街の歯医者の中間的存在
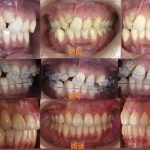
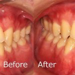
患者さんに好評な7つの治療
OUR SERVICE
不当に高い料金設定ではなく
出来るだけ受診して頂き易い治療費で対応いたします。
東京代々木駅前歯科 矯正歯科 口腔外科は代々木駅の目の前というアクセス便利な歯医者です。
日本の歯科医療は、各医院の得意分野だけは自院で、それ以外の分野は他院へ紹介するという医院が一般的です。
このような状況は、患者様にとって良い環境ではないと思っております。
当院では、インプラント・セラミック治療・入れ歯それぞれの専門医が豊富な技術と知識をもって、患者様1人1人にもっとも適した治療方針をたて、専門医が責任を持って対応させて頂きます。
Short term 短期集中治療で治療回数を最小に
1回の診療で完了することも可能です
比較的簡単な治療であれば、1回の診療で完了することもできます。
しかし、治療の本数が多い、難易度が高い処置等の場合は、どうしても複数回の受診が必要となることがあります。
出来る限り少ない回数のご来院で治療を完了させるプランのことを短期集中治療といいます。
短期集中治療
Facility CTとセファロを両方設置しています。
口内を立体で把握できる3次元
スキャニング
従来のレントゲンでは2次元の平面画像しか得られません。
一方、歯科用CTを用いると3次元の立体画像が得られるので、平面画像ではわからなかった歯やあごの骨の詳細な立体構造や神経の位置などを精度高く把握することができ、より適切な診断・治療が可能になります。
セファロ(矯正治療用頭部X線撮影)
当院のセファロはワイドなセンサーを搭載し、わずか0.9秒で頭部全体 を撮影します。動きによるブレのないクリアな画像が撮影できる上、X 線による被曝量も少ない装置です。
歯科用CT・セファロ
Sedation 静脈内鎮静法(リラックスして治療が受けられる)
不安を抱えることなく、安心して手術に臨みたい方へ
虫歯治療などでも使用する局所麻酔は、痛みを軽減することはできますが、意識がハッキリしているため、不安や恐怖、緊張を軽減することはできません。
東京代々木駅前歯科 矯正歯科 口腔外科では、治療中の患者さんのストレスを抑える静脈内鎮静法をご提供しております。ウトウトとした半分眠っている状態を作るため、治療中のストレスを軽減することができます。
以下が当てはまる方は事前に申し出ください。
-
睡眠時無呼吸症候群など気道がふさがりやすい持病をお持ちの方
-
重度の全身疾患のある方
-
向精神薬を長期内服している方
※静脈内鎮静法(セデーション)は保険外治療となります。
静脈内鎮静法
https://www.shikaosusume.com/introduction/y-e-s/
目指したのは、
大学病院と開業医の
中間的な歯科医院。
東京代々木駅前歯科 矯正歯科 口腔外科は、東京都内でも8.4%しかない
「かかりつけ歯科医機能強化型歯科診療所」に指定されています。
(平成31年2月1日 関東厚生局による)
MEDIA メディア掲載
東京代々木駅前歯科 矯正歯科 口腔外科が各種雑誌等のメディアに掲載された情報です。
メディア掲載
RECRUIT 求人情報
東京代々木駅前歯科 矯正歯科 口腔外科では、一緒に仲間を募集しています。経験・スキルよりも意欲・やる気を重視しています!
スタッフ募集
【当院の感染症対策についての対応】
新型コロナウイルス感染症に罹患された方及びご家族・関係者の皆様に、謹んでお見舞い申し上げます。
また感染防止にご尽力されている皆様に、深謝申し上げます。
東京代々木駅前歯科 矯正歯科 口腔外科では感染対策として以下の取組みをさせて頂き、診療をさせて頂きます。
-
◆患者様
-
・患者さん来院時の手指の消毒
-
・歯科用消毒液による洗口
-
・発熱患者様の対応
-
◆当院従業員
-
・手指の消毒
-
・マスクの着用
-
・咳エチケット
-
・出勤時の発熱確認と体調チェック
-
◆クリニック
-
・空間除菌空気清浄機の使用
-
・治療に使用するものの滅菌・消毒
-
・定期的な換気と空間除菌
-
・口腔外バキューム
-
・朝、昼、夕の清掃消毒の徹底
今後、情勢の変化に伴い対応も変更となる可能性がございます。
予めご了承ください。
東京代々木駅前歯科 矯正歯科 口腔外科院長 内田 圭一郎
NEWS お知らせ
-
2025.09.08
-
オートコールによる予約確認電話の終了のお知らせ
平素より代々木駅前歯科をご利用いただき誠にありがとうございます。
予約確認のために自動音声による「オートコール」を使用しておりましたが、患者様からのご要望を受け、今後は LINEでのご連絡 に切り替えることとなりました。
つきましては、9月7日をもちましてオートコールでのご案内は終了し、以降は当院の公式LINEより予約確認やご案内をさせていただきます。
今後も、より便利に安心してご利用いただけるよう努めてまいります。
代々木駅前歯科 矯正歯科 口腔外科
-
2025.04.30
-
院内にFreeWi-Fiを完備いたしました
接続方法などご不明な点がございましたら、お気軽にスタッフまでお声がけください。

-
2024.12.09
-
診療時間変更のお知らせ【2025年1月〜】
平素は代々木駅前歯科をご利用いただき、誠にありがとうございます。
2025年1月から平日9時30分〜18時30分に診療時間を変更になります。※土日の診療時間は今まで通りです。患者様のご理解、ご協力のほど宜しくお願い申し上げます。
以上よろしくお願いします。