東京代々木駅前歯科・矯正歯科・口腔外科 Instagram

当院について

ドクター紹介

診療案内

料金表

症状別料金

アクセス

求人情報

お問い合わせはこちらから Contact us

WEB問診票
タイトル背景イメージ

BLOG

2026.04.28

🦷顎関節症と矯正🦷

こんにちは、代々木駅前歯科の竹元です🔅

「顎がガクガクしたり、痛みがある」
「マウスピースを作ってもらったけど、なかなか付けられず改善しない……」
など、顎関節症でお悩みの方は多いと思います💦

一般的に、顎関節症の方にはナイトガード(マウスピース)やボトックス注射で治療を試みる事が多いですが、歯並び・不正咬合が原因として含まれている場合、そういった対症療法では根本的な治療とはならないケースがあります😖

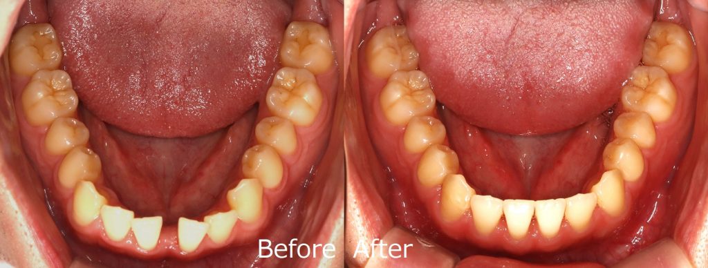
こちらの患者様は顎関節症が原因でご来院され、

⚠顎関節症が気になり、市販のナイトガードを使用してみたが、症状が続いている
⚠すきっ歯が気になり、人前で笑うのが恥ずかしい

とのお悩みでした。

🥼診察の結果、歯並びが原因で顎に影響が出ている為、顎関節症に対して根本的な治療を望むのであればやはり矯正治療が望ましいケースでした。

カウンセリングを経て、実際に見積りを作成するにあたり、矯正用の検査を行います。この検査結果とカウンセリングの内容をもとに、患者様のお口・ご要望に合った治療方法を矯正医が分析して、費用・期間の見積りを作成いたします。

🦷目立ちにくいマウスピース矯正が良い
🦷以前、抜歯で嫌な思いをした事がある

とのご希望等もあり、検査の結果を踏まえて、非抜歯・インビザライン(マウスピース)矯正で進める事となりました。

当初の予定では、費用98万円/期間2年~を予定しておりましたが、順調に治療が進んだ結果、約9ヵ月間で歯並びがここまで綺麗に整いました❕
日本矯正歯科学会により、矯正装置が外れてからも、およそ2年間はリテーナー(保定装置)を付ける事が推奨されている為、今後はリテーナーで後戻りを防止しつつ、顎関節症の改善を観察していく事となります。

顎関節症でお悩みの方・矯正にご興味のある方は、ぜひ一度、無料のカウンセリングにお越しください。

当院一同心よりお待ちしております🙇‍♂️💖

代々木駅前歯科・代々木駅徒歩10秒・新宿・渋谷区・インプラント・矯正・審美専門医在籍

← Prev Back

お問い合わせはこちらから Contact us