矯正治療を始めました🦷✨
こんにちは!4月に入職した衛生士の平澤です💪
歯並びがガタガタなのがずっと気になっていて、私も矯正医のいる代々木駅前歯科で治療を始めることにしました☺️
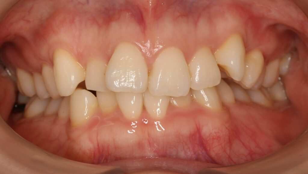
まずは上の歯だけ装置がつきました!

装置をつけてもらってる時は、寝そうになるくらい熱さや痛みもなく、いつの間にか終わっちゃってました!
最初は痛くてあんま食べられないと友人から言われていたので、ダイエットできるかも!と期待していましたが、、
思ったより痛くない😳
装置がついた夜から少し歯が動く痛みはありましたが、耐えられないほどの痛みは全然ありませんでした!
ほっぺに口内炎ができて痛かったですが、保護するカバーをつけて対策したら痛みなくなりました!
最近は慣れてきたのかカバーをつけなくても全然痛くないです!
職場のスタッフと一緒に焼肉を食べに行きましたが、お肉も沢山食べられました🍖✨
最初は食べられるか心配でしたが、意外と美味しく食べられて嬉しいです!
ダイエットはまだ先になりそうです😅
そして私が表側のワイヤー矯正を選んだ理由ですが、せっかく矯正をするならファッションとしても楽しみたい!と思い、表側のワイヤーを選びました!!
カラーの矯正がやりたくて個人的にカラーのリングを購入して付けてもらいました😝
掃除が大変と聞いてましたが、やっぱり普段より歯磨きに時間がかかります、、
食べかすなどを取りきるには歯間ブラシやフロスも使わないとダメだなと思いました。
でも、逆に虫歯にならないようにいつもより丁寧に歯磨きできている気がします!
まだまだ先は長いですが頑張ろうと思います💪
皆さんも
🦷歯並びが気になるな…
🦷歯が磨きづらくものが詰まりやすい
🦷矯正に興味ある!
なんでも大丈夫です。一度無料カウンセリングにお越しください☺️
代々木駅前歯科・代々木駅徒歩10秒・新宿・渋谷区・インプラント・矯正・審美専門医在籍