東京代々木駅前歯科・矯正歯科・口腔外科 Instagram

当院について

ドクター紹介

診療案内

料金表

症状別料金

アクセス

求人情報

お問い合わせはこちらから Contact us

WEB問診票
タイトル背景イメージ

BLOG

2017.06.20

「大人乳歯」をご存知でしょうか?

「大人乳歯」をご存知でしょうか?
以前、大人乳歯を扱った記事を読んだ事がありました。
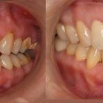
本来であれば乳歯は子供のうちに抜けるはずなのですが、大人になってからも永久歯が生えてこないといった人が最近増えているそうです。
実は私もその1人で、永久歯が生えてきていない部位があります。

主な理由として、先天欠損歯が挙げられています。先天欠損歯とは、生まれつき永久歯を持っていない『歯の先天性欠如』のことを言います。

今は大きな影響がなくても段々と噛み合わせが合わなくなってきたり、隣の歯が倒れてきて隙間ができ食べカスがつまりやすくなり虫歯が出来てしまうなどのリスクもあるそうです。

一般的には、インプラントや部分入れ歯、ブリッジなどの治療方法があります。
患者様ひとりひとりのお口の状態や、それぞれの治療のメリットデメリットは様々です。
まずは自分の口腔内環境をしっかりと把握することも大切です。
クリニックでの定期的な検診を心掛けましょう!

代々木駅前歯科 代々木駅徒歩10秒 新宿・渋谷区 インプラント・矯正・審美専門医在籍

← Prev Back Next →

お問い合わせはこちらから Contact us