前歯セラミック治療
ブログの確認をお願い致します🙇♀️
こんにちは
代々木駅前歯科の手洗です。
今週はセラミック治療をされた患者様をご紹介致します🧚🏻♀️✨
💎ご相談内容💎
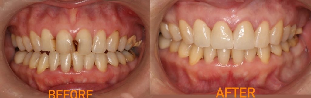
前歯が欠けが気になり来院されました。
前歯3本をジルコニアセラミッククラウンで治療しました✨✨
【セラミック治療と治療の流れ】
歯科治療は様々ありますが、セラミックを選択する時は、歯と歯の間が虫歯の時や、それ以上に深い虫歯に感染した時に行う治療法です☺️
小さな虫歯だとインレーと呼ばれる詰め物、大きな虫歯は、クラウンと呼ばれる全体的にしっかりと補強できる被せ物で治療します🦷✨
主に
「銀歯を白くしたい」
「長持ちするもの選びたい」
「見た目、身体に良いものを選びたい」
「何度も治療を繰り返したくない」
「一度でしっかり治したい」
見た目の美しさだけでなく、将来を見据えた口腔健康への意識が年々上がり、セラミック治療を検討される患者様が増えています✨
金属やプラスチックなどと比べ、審美性、機能性、耐久性などが最も優れており、セラミックは天然歯に近い自然な美しさだけでなく、汚れが付きにくく、長期的にお口の健康を維持しやすい素材です🧚🏻♀️✨
セラミックにされる方は、ご自身の健康や印象を大切にしたいという想いから選択されています。
口元は第一印象を左右する重要な要素であり、セラミック治療は見た目の美しさだけでなく、患者様ご自身の自信にもつながる治療であると、日々の診療の中で実感しております❤️🩹
💎メリット
• 自然で美しい
• 虫歯再発リスクが低い
• 金属不使用
• 耐久性が高い
💎デメリット
• 保険外診療のため費用がかかる
💎セラミック治療の流れ
当院のセラミック治療は、
治療回数:2回〜
期間:約2週間程度で完了します。

❤️🩹治療の流れ❤️🩹
STEP 1:初診カウンセリング・検査
初診時は現在のお口の状態を詳しく検査します。現在のお困り事、ご要望や気になる点をしっかりと歯科医師がお伺いし、最適な治療プランをご提案します😃
お見積もりをお渡しし納得いくまでご相談ください。治療内容によりますが、全体的に覆う被せ物治療をされる方は、仮歯が必要になる事が多い為、仮歯の型取りを行います。
STEP 2:治療開始(型取り・仮歯の装着)
虫歯を除去し歯の型を取ります。
クラウンで歯を補強する場合は、仮歯の装着まで。
STEP 3:セラミック装着・完成
できあがったセラミックを装着して治療完了です。ご要望があれば担当医へお気軽にお申し付けください。
STEP 5:定期メンテナンス
セラミック装着後も定期的なメンテナンスが大切です。長く良い状態を保つために、3ヶ月に1回は定期検診にお越しいただく事をおすすめ致します。
💎治療を終えた患者様の声💎
(40代女性)
費用が少し心配でしたが、治療前にしっかり説明があり、分割も対応されてるとの事だったので、前歯のセラミックを3本入れました。どちらが人工歯か分からないくらい自然でカウンセリングも丁寧で安心して任せられました。仕上がりは大満足です🥹🩷
東京代々木駅前歯科・矯正歯科・口腔外科では、セラミック治療の専門医が在籍し、年間2,944本(2018年9月〜2019年8月実績)のセラミック治療を行っていますので、いつでもお気軽にご相談ください😃❤️🩹
またセラミックだけでなく、
「インプラント」「矯正」「顎関節症」「親知らず」「根管治療」など全ての分野の専門医が在籍しております👨🏻⚕️
短期集中治療も対応
ご予約は公式LINE/24時間WEB予約/電話にて可能です。