2026.03.11
過剰歯たくさん!難抜歯でも抜ける✨
こんにちは、代々木駅前歯科宗形です😊
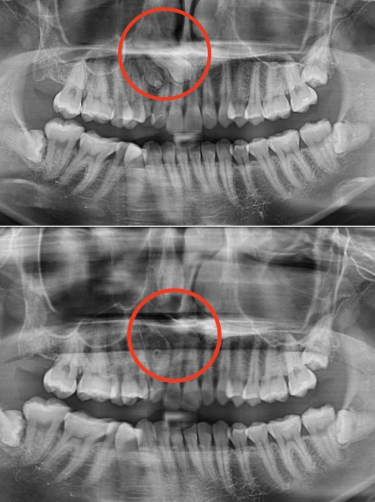
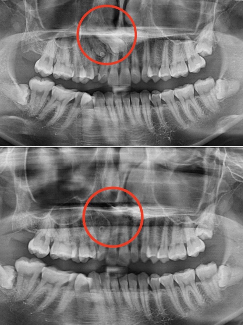
今日はちょっと珍しい症例をご紹介します。「過剰歯(かじょうし)」です🦷✨
今回の患者さまは、矯正治療をすすめるために「抜歯をしてください」とのことでご来院されました。
診察してみると…なんと、過剰歯が複数本あり、かなり難しい抜歯ケースでした💦
過剰歯とは、通常の本数より多く生えてしまう歯のことです。1本だけの場合もありますが、今回のように複数本ある場合は、👿歯並びが悪くなったり、👿矯正治療をスムーズに進める妨げになったりします。
さらに、奥深くに隠れている歯は、普通の抜歯よりも技術と慎重さが求められます⚡
当院ではまず、精密な診査とレントゲン検査を行い、過剰歯の位置や根の状態を確認します🔍。
今回は難しいケースでしたが、麻酔も丁寧に行い、痛みや不安を最小限に抑えながら抜歯を行いました💪✨。

治療中、患者さまも「こんなに奥にある歯まで抜けるんですね!」と驚かれていました😊。
抜歯後は腫れも少なく、安心して矯正治療をスタートできる状態になりました🦷🌟。
過剰歯は珍しい症例ですが、適切な診断と安全な処置で、安心して治療が可能です。
難しい抜歯だからと諦める必要はありません。
私たちは、経験豊富な歯科医師が一人ひとりに合わせた丁寧な対応を心がけています✨
歯並びや過剰歯でお悩みの方、また「抜歯が必要かもしれない…」と不安に思っている方も、ぜひお気軽にご相談ください📞。
安全で痛みの少ない治療で、笑顔に自信を取り戻すお手伝いをいたします😊✨
東京代々木駅前歯科・代々木駅徒歩10秒・新宿・渋谷区・インプラント・矯正・審美専門医在籍
