🦷目立たずしっかり矯正✨≪ハーフリンガル矯正≫
こんにちは、代々木駅前歯科の竹元です🔅
「矯正をしたいけれど、ワイヤーが見えてしまうのが嫌だ」
「マウスピースを毎日着けられるか自信が無い……」
とお悩みの方はいらっしゃいませんか?😢
今回は、そんな方でも挑戦しやすいハーフリンガル矯正治療の一例をご紹介します❕
🦷矯正治療をご希望される方には、まず無料のカウンセリングを行っております。
お口の状況で悩んでいる事や、矯正についてのご要望をお聞きして、どんな矯正の方法があるか等をご案内いたします。

こちらの患者様のお悩みは、
⚠15年前に矯正をしたものの、逆に出っ歯になってきてしまった
⚠後戻りもあり、嚙み合わせが気になる
という点でした。
🦷カウンセリングを経て、実際に見積りを作成するにあたり、矯正用の検査を行います。
この検査結果とカウンセリングの内容をもとに、患者様のお口・ご要望に合った治療方法を矯正医が分析して、費用・期間の見積りを作成いたします。
こちらの患者様は、「前歯をしっかり引っ込めたい」「出来れば目立たず矯正を進めたい」というご要望があったので、ハーフリンガルでの矯正をする事になりました😊
🦷ハーフリンガルとは、上の歯は裏側矯正(リンガル)・下の歯は表側矯正(ラビアル)で治療し見た目を気にすることなく治療ができる表側矯正と裏側矯正のメリットを両取りしたような治療方法です💖
リンガル矯正は、行える矯正医が限られている事もあり、一般的に表側矯正よりも高額になりますが、ハーフリンガルではその費用を抑えることも出来ます✨
部分矯正も検討されていましたが、部分的な歯の移動だと前歯があまり引っ込まない可能性が高かった為、全顎での矯正となりました。
その代わり、歯の色と親和性の高いホワイトワイヤーを使用したので、目立たない矯正が可能となりました🤳

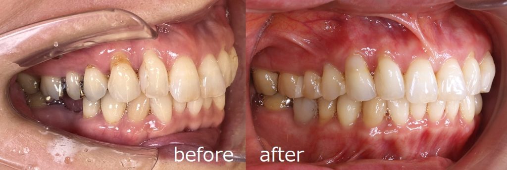
今回のケースでは、ワイヤーを付けてから外すまで1年半で終了しました❕
口を開けて笑った時の見た目もかなり変わり、前歯が目立たなくなっています🥰
ご興味のある方は、ぜひ一度、無料のカウンセリングにお越しください。
当院一同心よりお待ちしております🙇♂️💖
代々木駅前歯科・代々木駅徒歩10秒・新宿・渋谷区・インプラント・矯正・審美専門医在籍