年間0症例
年間0症例
年間0症例
国内平均約1.8名に対して、
歯科衛生士が0人在籍
東京代々木駅前歯科・矯正歯科・口腔外科は、患者様1人1人にもっとも適した治療方針をたて、専門医が責任を持って対応させて頂きます。
初診時はカウンセリングと検査をしっかりと行い検査結果や治療計画を説明させていただく時間を60分前後設けています。ご理解とご協⼒をお願いいたします。
大学病院レベルの治療を、気軽に街の歯科医院で。
各領域の専門医師が在籍し、
専門的な治療でも対応可能
当院のホームページをご覧いただきありがとうございます。
当院では計40名ほどのスタッフが皆様の治療に携わっております。
小さなお子様(近隣で学校医を仰せつかっております)、都心でお忙しいサラリーマンの患者さん、ご紹介で遠方からいらっしゃる患者さんと、幅広い世代の方の治療に対応しております。
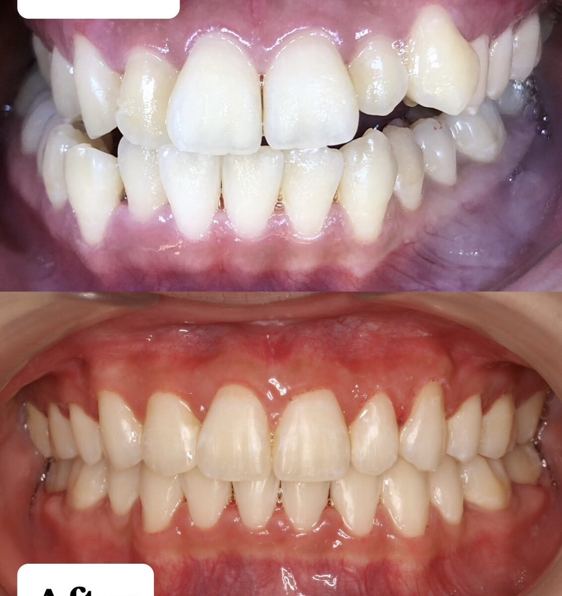
また一般的な虫歯治療、クリーニング等と併せて、セラミック治療、矯正治療、インプラント治療など、いわゆる高度な歯科治療もおこなっております。
今まで色々治療してきたけど、
そんな方のためのクリニックです。
すぐに寝かせて、削って、詰めて、ハイ終わり
今までの歯科医院の体験に不満がある方、一度ご相談にいらして下さい。
院長内田 圭一郎
当院の院長は、日本口腔インプラント学会専門医・指導医の資格を取得しています。
日本口腔インプラント学会が認定するインプラント専門医は、同学会がインプラント治療における豊富な知識や経験を持っていると認めた歯科医師に対して認定する資格認定制度です。
専門医の認定書は、審査・試験を経て合格した歯科医師に交付されます。日本口腔インプラント学会の会員数は5,000人以上ですが、その中で専門医の数は500人程度。 指導医の資格保持者は、都内でも数名(2016年4月時点)という非常にハードルの高い資格です。
当院の院長は、日本口腔インプラント学会専門医・指導医の資格を取得しています。
日本口腔インプラント学会が認定するインプラント専門医は、同学会がインプラント治療における豊富な知識や経験を持っていると認めた歯科医師に対して認定する資格認定制度です。
専門医の認定書は、審査・試験を経て合格した歯科医師に交付されます。日本口腔インプラント学会の会員数は5,000人以上ですが、その中で専門医の数は500人程度。 指導医の資格保持者は、都内でも数名(2016年4月時点)という非常にハードルの高い資格です。
治療において環境も大切な要素です。
当院では高度な医療を提供するために、最新の治療機器を多数取り揃えています。
※右は3次元スキャニングの実際の動画です。
比較的簡単な治療であれば、”1回の診療”で完了することもできます。
しかし、治療の本数が多い、難易度が高い処置等の場合は、どうしても複数回の受診が必要となることがあります。
出来る限り少ない回数のご来院で治療を完了させるプランのことを短期集中治療といいます。
治療中の患者さんのストレスを抑える静脈内鎮静法をご提供しております。ウトウトとした半分眠っている状態を作るため、治療中のストレスを軽減することができます。
土日診療しております
赤ちゃん連れでも
お気軽にご来院ください
受付2人体制によるきめ細やかな対応
LINEで治療のお悩み相談が可能
フリーWi-Fiあり
院内でお仕事しながら
お待ちいただけます